Lompat ke konten Lompat ke sidebar Lompat ke footer

View Megaloblastic Anemia Bone Marrow Pictures

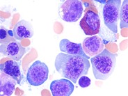
View Megaloblastic Anemia Bone Marrow Pictures. Megaloblastic anemia (ma) is a form of anemia that is caused by suppression of dna synthesis in the production of red blood cells. Bone marrow core biopsy and aspirate show hypercellular marrow with erythroid hyperplasia:

Megaloblastic Anemia: Practice Essentials, Pathophysiology ...
Megaloblastic Anemia: Practice Essentials, Pathophysiology ... from img.medscapestatic.com
Megaloblastic anemia is a type of macrocytic anemia that results from inhibition of dna synthesis during red blood cell production. Megaloblastic anemia refers to a group of anemias that have in common a selective reduction in the rate of 6.6. Megaloblastic anemia is a type of anemia , a blood disorder in which the number of red blood cells is lower than normal.

Myelodysplastic syndromes, which affect 10,000 to 15,000 people in the united states annually, occur more frequently in older people, with an average age at diagnosis of 70.

In moderate to severe cases, the marrow is almost always hypercellular with brisk erythroid hyperplasia (small black arrows). Only about 3 out of every 1 million people in the united states are diagnosed with. In megaloblastic anemia, the bone marrow, where the cells are formed, makes fewer cells. Megaloblastic anemia is a type of anemia characterized by very large red blood cells.

Posting Komentar untuk "View Megaloblastic Anemia Bone Marrow Pictures"