Lompat ke konten Lompat ke sidebar Lompat ke footer

Get Megaloblastic Anemia Bone Marrow Findings Pictures

Get Megaloblastic Anemia Bone Marrow Findings Pictures. In most cases, megaloblastic anemia develops slowly and affected individuals may remain without any apparent symptoms (asymptomatic) for many. Anemia which arises from abnormal dna synthesis caused by vitamin b12 or folate deficiencis.

PPT - The Megaloblastic Anemias: Vitamin B 12 & Folate ...
PPT - The Megaloblastic Anemias: Vitamin B 12 & Folate ... from image1.slideserve.com
Megaloblastic anemia results from inhibition of dna synthesis during red blood cell production. Megaloblastic anemia is a type of anemia characterized by very large red blood cells. This entity forms a constellation of clinical manifestation, microscopic features in peripheral blood along with abnormal laboratory findings.

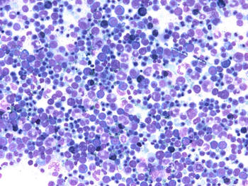
Bone marrow findings in anemia.

The bone marrow findings in megaloblastic anemia are very characteristic that help differentiate this disorder from pure erythroid leukemia and myelodysplasia. (pallor), lightheadedness and additional findings. In moderate to severe cases, the marrow is almost always hypercellular with brisk erythroid hyperplasia (small black arrows). Doctors can suspect ma from general findings obtained from an.

Posting Komentar untuk "Get Megaloblastic Anemia Bone Marrow Findings Pictures"